- 研究人员找到和致命前列腺癌相关的基因突变 家医在线健康资讯
- ICL晶体植入术可以维持多久?会不会反弹?ICL知识答疑来了...
- 兔软骨糖蛋白39(YKL40)ELISA试剂盒 说明书 E...
- xxxxxxxxxxx最新推荐资源 Sogou
- 美国企业BioSolar开发21700硅负极电池 第一电动...
- 请问甲酚和苯酚有什么区别
- Mua qua bong ro o dau websites...
- 无菌操作技术注意事项
- 中央随机系统_
- 【求助】有没有人用过旋转蒸发仪干燥蛋白的? 蛋白质和糖学....
- 野生型P53基因对人肠癌细胞株的抑瘤效应
- 人抗DNA酶B抗体(antiDNase B)ELISA分析试...
- [10-02]基因的区别基因突变和基因变异有什么区别
- [08-04]基因突变是咋回事;能治吗_有问必答_
- [12-02]什么叫基因突变,可分为几类?
- [11-08]染色体变异和基因突变中的缺失有什么区别
- [07-30]cfDNA之ESR1突变或为预测乳腺癌结局的“冰山一角”新闻诺禾致源
- [08-12]PCR技术在突变基因检测中的应用 实验方法
- [08-09]基因突变的命名规则和表示方法
- [11-10]肺癌为什么要做基因突变检查 百济健康商城
- [11-08]克隆技术对人类有什么危害
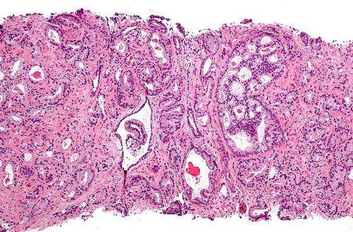
研究人员找到和致命前列腺癌相关的基因突变
克利夫兰诊所的研究人员首次确认了基因HSD17B4和致命的治疗抵抗性前列腺癌之间存在着机制上的联系。

来自克利夫兰诊所·勒纳研究所癌症生物学部的NimaSharifi博士领导了这项研究,该研究表明缺乏该基因某种亚型的男性更容易患上治疗抵抗性的致命恶性前列腺癌。
Sharifi博士及其同事早期的研究发现基因HSD3B1突变会导致前列腺癌更耐受治疗、更容易增殖。他们发现这个基因突变会改变男性的治疗结果以及总生存率。
在现在这项发表于CellReports的研究中,Sharifi博士和他的团队研究了一个相关基因(HSD17B4),过去的研究表明该基因可以编码让雄性激素失活的酶。由于雄性激素对于前列腺癌生长是必需的,因此使之失活应该可以预防癌症进展。但是研究人员却发现这些酶在晚期前列腺癌病人身上表达水平更高。因此迄今为止仍然不清楚这个酶是促进还是抑制前列腺癌。
目前治疗恶性前列腺癌的方法(雄性激素阻断治疗,ADT)是抑制细胞提供雄性激素——前列腺癌用于生长和转移的燃料。尽管刚开始治疗时,ADT有效,但是最终往往会失效,这导致癌症进展到致命阶段-去势抵抗性前列腺癌(CRPC)。
“我们希望这些发现能够帮助开发更精准更有效的疗法,”Sharifi博士说道。“如果男性缺乏这个基因的某种亚型,也许我们可以对他们进行个性化治疗。”
为了确定HSD17B4在前列腺癌转变为CRPC过程中发挥的作用,Sharifi博士的团队分析了该基因在健康人体、局部前列腺癌病人和CRPC病人前列腺组织中的表达情况。他们发现HSD17B4表达水平在健康和局部前列腺癌组织中相当,但是CRPC组织中显著降低,这表明HSD17B4在防止前列腺癌进展为CRPC过程中确实发挥着作用。
通过一系列分析,研究人员发现只有一种特殊的亚型-2型HSD17B4才能使雄性激素失活,防止肿瘤生长。它在早期前列腺癌组织中表达,但是在CRPC中被抑制或者缺失。
研究人员也在临床前研究中确证了他们的发现。他们的发现表明缺失2型HSD17B4会导致晚期CRPC。他们将进行进一步研究以探索HSD17B4在CRPC中如何被抑制以及它是否可以作为生物标记物预测病人始于前列腺癌的风险。
癌症生物学部Hyun-KyungKo博士是该研究的第一作者,该研究由霍华德休斯医学研究所,前列腺癌基金会,美国癌症协会和国家癌症研究所资助完成。
================ 蚂蚁淘在线 ================
免责声明:本文仅代表作者个人观点,与本网无关。其创作性以及文中陈述文字和内容未经本站证实,对本文以及其中全部或者部分内容、文字的真实性、完整性、及时性本站不做任何保证或承诺,请读者仅作参考,并请自行核实相关内容
版权声明:未经蚂蚁淘在线授权不得转载、摘编或利用其他方式使用上述作品。已经经本网授权使用作品的,应该授权范围内使用,并注明“来源:蚂蚁淘在线”。违反上述声明者,本网将追究其相关法律责任。

